综合外科独立完成首例胸腔镜下胸腺肿瘤切除术

时间:2018-04-21    科室:     作者:     点击: 5148 次

综合外科

 

 

 

        近日综合外科胸外专业组独立完成首例胸腔镜下胸腺肿瘤切除术,标志着我院胸外科专业在前上纵膈肿瘤腔镜微创手术再上新的台阶。

        患者“何某某”,男,62岁,因“咳嗽、咳痰6天”于4月2日入住呼吸内科,经进一步检查诊断为“胸腺瘤”,由任军主治医师会诊后转入综合外科治疗。

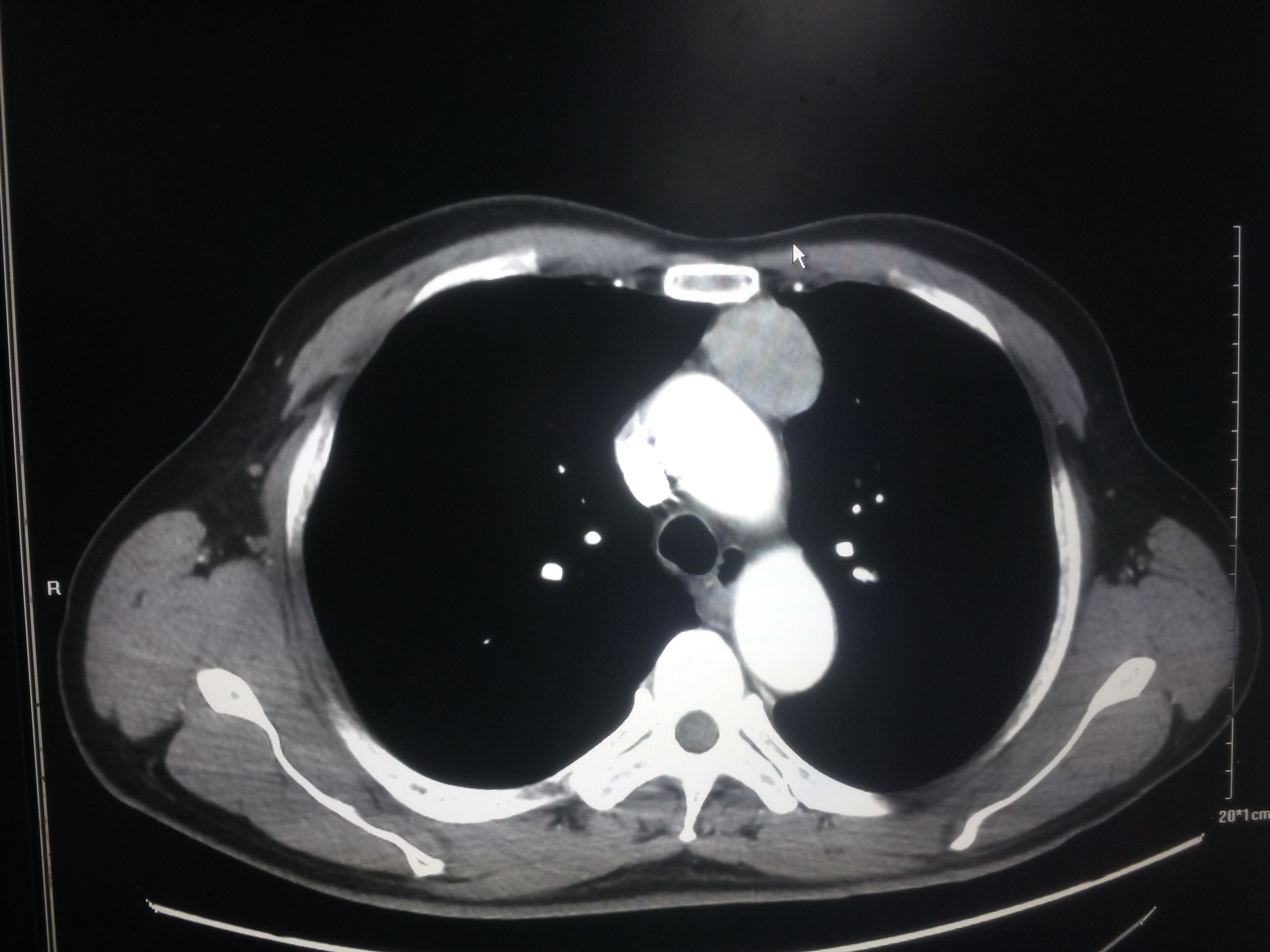
        肿瘤位于上前纵膈向左侧胸腔凸出,大小约4.5X3.5厘米,与升主动脉、心脏、上腔静脉、左侧无名静脉、膈神经毗邻,关系密切,手术难度较大,一旦损伤将会产生严重并发症,甚至危及生命。张元宝主任组织科内讨论并制定了胸腔镜微创手术切除肿瘤的方案,手术由主治医师任军主刀、杨金国配合,术中精细操作,仔细分离,避免损伤,顺利将肿瘤完整切除。

 

 

 
 

        胸腺瘤的临床症状产生于对周围器官的压迫。小的胸腺瘤多无症状,也不易被发现。肿瘤生长到一定体积时,可有胸痛、胸闷、咳嗽及前胸部不适。被忽略诊断的胸腺瘤常生长到相当大体积,压迫无名静脉或有上腔静脉梗阻综合征的表现。剧烈胸痛,短期内症状迅速加重,严重刺激性咳嗽,胸腔积液所致呼吸困难,心包积液引起心慌气短,周身关节骨骼疼痛,均提示恶性胸腺瘤的可能。

        胸腺瘤特有的表现是合并某些综合征,如重症肌无力、单纯红细胞再生障碍性贫血、低球蛋白血症、肾炎肾病综合征、类风湿性关节炎、红斑狼疮、巨食管症等。

        本病无有效预防措施,早诊断早治疗是防治关键。同时应注意预防并发症,一旦出现应积极治疗,防止进一步发展。我院胸外科专业胸腔镜下胸腺肿瘤切除手术的开展可更好的服务患者,满足我县广大患者的就医需求。

扫描二维码分享到微信