子宫肌瘤的介入治疗
子宫肌瘤是子宫平滑肌组织增生而形成的良性肿瘤,是女性最常见的良性肿瘤。育龄期妇女的患病率可达25%。临床主要表现为月经改变、痛经和增大的子宫,包括月经增多、经期延长、淋漓出血及月经周期缩短,可发生继发贫血,也可出现阴道分泌物增多或阴道排液、腹部包块。妇科超声和MRI可以明确诊断。
子宫动脉栓塞术治疗子宫肌瘤主要是通过将栓塞药物注入到子宫动脉血管中,阻断子宫肌瘤的血供,停止其营养的供给,从而使肌瘤不再长大、萎缩,达到治疗肌瘤的目的。相对于传统子宫切除治疗而言,创伤更小、恢复快,更显著的优势是可以保护子宫完整性,保留生育能力。

子宫动脉栓塞手术示意图

左子宫动脉栓塞术后肌瘤血供完全阻断

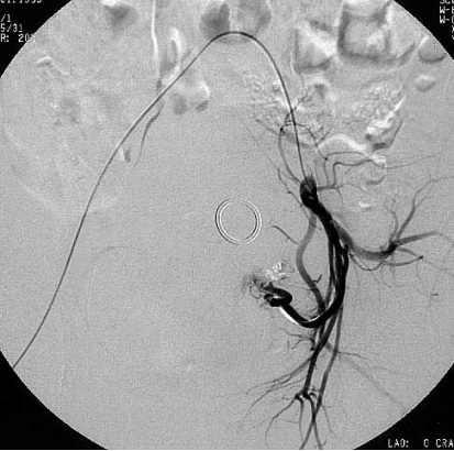
左子宫动脉栓塞术前肌瘤血供丰
扫描二维码分享到微信