喜讯!区人民医院再添“神器” --光速3.0T磁共振正式投入使用

光速3.0T磁共振
磁共振是目前临床上最先进、最重要的辅助检查之一,9月10日,区人民医院新引进的飞利浦全大孔径光速3.0T磁共振正式投入使用。
光速3.0T磁共振,是目前全球最高端的3.0T磁共振平台,图像好,速度快,功能全,定量准,拥有全身压缩感知成像、全数字影像链、全性能大孔径、全程智能巡航、四维多源发射五大革命性创科学疗法。

优势
全面提升临床科研应用,图像信噪比提升40%;
高磁场均匀度、55厘米扫描视野,患者可在1分钟内完成全身成像;

扫描时可发现1毫米以下的肿瘤,达到早期诊断和早期治疗的目的;
特有的运动伪影消除技术,即使患者在扫描时有不自主运动(如帕金森综合症),也可以获得令人满意的图像,为临床的诊断及治疗提供有力的影像学资料;
DNA 数字控制系统通过数字时钟同步技术,实现全数字化信号时序,解决以往成像过程中触发时间不精准、翻转角度不完全、高延时、低带宽等问题;
无线射频通道构建未来技术及应用平台;
应用:
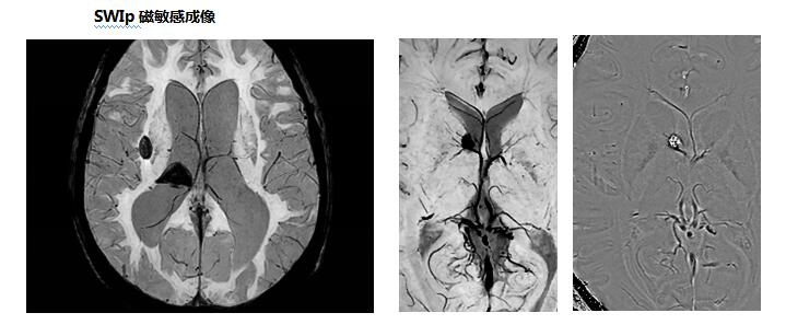
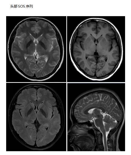
中枢神经系统应用
可应用于颅内外肿瘤性病变,脑卒中病变、血管性病变、感染性病变、外伤性病变,脑白质病变,先天性发育异常、退行性病变等中枢神经系统疾病检查,尤其是脊柱及脊髓病变,同时可以全脊柱成像,整个脊柱及脊髓病变一览无余,无处藏身。




五官及颈部疾病应用
对于五官及颈部病变显示较CT具有明显优势,可以用于鼻、口咽部、喉部、腮腺、颌下腺、眼眶、内耳、副鼻窦等部位疾病的诊断,对于病灶的显示清晰,做到早发现、早治疗。
胸部的应用
对两肺病变,纵膈病变等,利用流空效应非造影剂区分血管和淋巴结,对心脏病变,同时可以利用心脏电影技术对心脏进行实时动态观察。
腹部及盆腔的应用
对于实质性脏器,如肝脏、胰腺、脾脏、双肾的肿瘤及炎性病变的检出,尤其是早期肝癌的检出率较CT明显提高;可对于空腔性脏器,如胆囊、胃、膀胱、小肠、结肠等进行检测;对于妇科疾病如卵巢癌、宫颈癌、子宫内膜癌、子宫肌瘤的检出敏感性明显优于CT,对于前列腺疾病更是CT无法取代。

关节及软组织应用
由于磁共振具有良好的软组织分辨率,在关节及软组织领域具有任何检查无法取代的优势,能够清晰显示肌肉、肌膜、肌腱、韧带、软骨、骨皮质、骨髓腔,同时可以多角度、多平面成像,具有极高的诊断率。
乳腺疾病应用
可以避免乳腺钼靶因图像重叠而遗漏病灶,利用压脂技术能很好的显示病灶,同时应用DWI、动态增强扫描及绘制时间-增强曲线对于乳腺肿瘤良恶性的判断具有较高的准确性。
血管方面应用
可以采用注射造影剂血管成像,也可以通过TOF、PC、TRANCE等方法进行无造影剂血管成像,无骨伪影,图像清晰,身体各部位血管均可成像。

3.0T磁共振的应用,为医院提升服务水平注入新动力,标志着医院医疗技术设备进入更高层次。为进一步提升疑难疾病诊治和综合服务能力提供了条件,为广大居民群众提供了更优质的医疗服务!
撰稿:曲海霞 编辑:黎婷婷 审阅:杜秀香
扫描二维码分享到微信