打赢脑卒中狙击战 介入手术帮您再立人生
神经内一科
近日,区人民医院神经内一科通过神经介入手术再获成功救治多名脑血管疾病患者,帮助他们战胜卒中、再立人生。
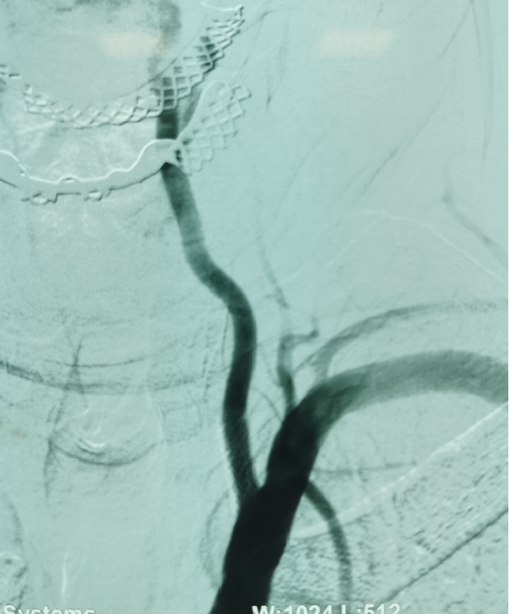
患者赵某某,男,70岁,因突发左侧肢体活动不灵3小时入院,查体:神志模糊,反应迟钝,言语不清,左侧鼻唇沟变浅,口角右侧偏斜,左侧肢体肌力0级,右侧肢体肌力正常,双侧巴氏征阴性。入院颅脑CT示腔隙性脑梗死。主治医师魏华明建议急诊取栓治疗。手术由魏华明主治医师操作,10分钟完善术前准备,5分钟完成脑血管造影,考虑为右侧夹层动脉瘤所致急性期脑梗死,夹层内有急性血栓形成,血栓有进一步加重的可能性,同时夹层有急性撕裂破裂的可能性,病情非常凶险。神经介入团队仅用时30分钟成功为患者实施颈动脉支架植入血管成形术,同时给予尿激酶动脉溶栓,患者左侧肢体肌力立即恢复至3级。术后,经过神经内一科医护团队的精心治疗和严密护理,现患者左侧肢体肌力已恢复至四级。

右侧夹层动脉瘤
颈动脉支架
植入血管成形术

患者盛某某,因反复发作性头晕多次入院,完善CTA示左侧椎动脉狭窄,应用多种药物效果欠佳,魏华明主治医师考虑为椎动脉狭窄所致后循环缺血,给予椎动脉支架植入血管成形术,术后头晕症状完全消失。

左侧椎动脉狭窄
椎动脉支架
植入血管成形术

患者王某某,因头晕、左侧肢体无力20余天入院,完善CTA后示右侧椎动脉狭窄,给予椎动脉支架植入血管成形术后,上述症状消失。

右侧椎动脉狭窄
椎动脉支架
植入血管成形术

目前区人民医院神经介入治疗已发展成为成熟的治疗手段,有创伤小、恢复快、预后好等优点,在此,也提醒全区父老乡亲,一旦出现脑血管疾病症状,及时到济阳区人民医院就诊,以便得到及时、有效、快速的救治。
撰稿:刘正飞 编辑:黎婷婷 审阅:杜秀香

济阳区人民医院
长按二维码关注我们
扫描二维码分享到微信