神经介入显奇效,锦旗见证医患情

近日,我院神经内二科患者王大爷的家属将一面写有“医术精湛 医德高尚”的锦旗送到医生办公室,感谢全体医护人员的精心治疗与悉心护理。

图 1 脑梗死图像
家住济阳街道某村的王大爷今年72岁了,平时患有高血压、糖尿病多年,近几日老人总是无征兆的头晕,有一种天旋地转的感觉,开始以为是高血压引起的症状,可是一连吃了好几天降压药不但没见好转,眩晕反而越来越厉害了,而且还出现了呕吐症状,家人将老人送到我院就诊,经检查颅脑核磁共振显示:小脑及脑干等多部为急性脑梗死(如图1所示)。

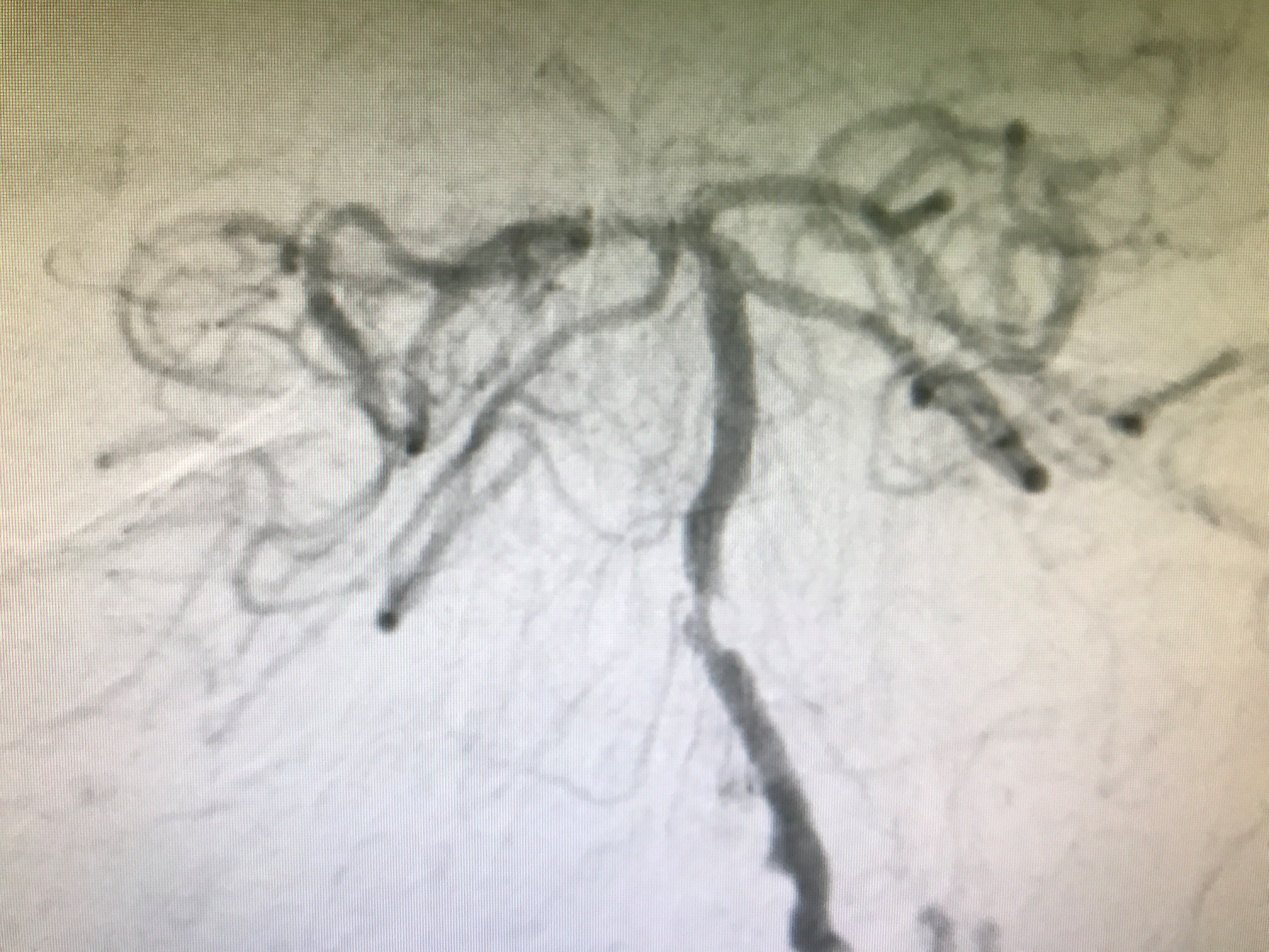
图 2 支架术前
收住神经内二科住院治疗。这种小脑和脑干部位的梗死称作基底动脉尖端综合征,是一种严重的脑梗死,死亡率和致残率都非常高,如果继续发展将会最终出现基底动脉闭塞而危及生命。紧接下来的脑血管造影也证实了之前的判断,造影显示基底动脉中段狭窄约90%,(如图2所示)。

图 3 支架术后
如此程度的脑血管狭窄,仅凭药物治疗是无效的,经过严密而谨慎的评估,神经内二科主任高磊决定为患者实施基底动脉支架成形术。就是在血管狭窄的地方放置一枚支架将狭窄的血管撑开,让脑血流更加通畅一些,从而改善脑部的血液供应。这个病人支架手术的最大困难和挑战在于既要在血管狭窄段成功放置支架,又要保护狭窄处基底动脉的重要血管分支不因为放置支架而闭塞,从而引起新的脑梗死。经过严密的术前准备,成功为患者实施了基底动脉支架,术后造影显示基底动脉狭窄消除,血管分支保护良好(如图3所示)。
手术后患者眩晕的症状即刻消失,术后七天患者痊愈出院。出院后患者儿子送来锦旗表达其喜悦和感激之情。
神经内二科咨询电话:0531-81173712;81173713
扫描二维码分享到微信