柳暗花明 幸得有你
——我院普外一科成功完成
高难度甲状腺全切术

2月1日,我院普外一科克服患者年龄大、基础病多、肿物较大等重重难关,成功为杖朝之年的张女士完成甲状腺全切术,同时帮老人达成了除夕夜在家过年的心愿。

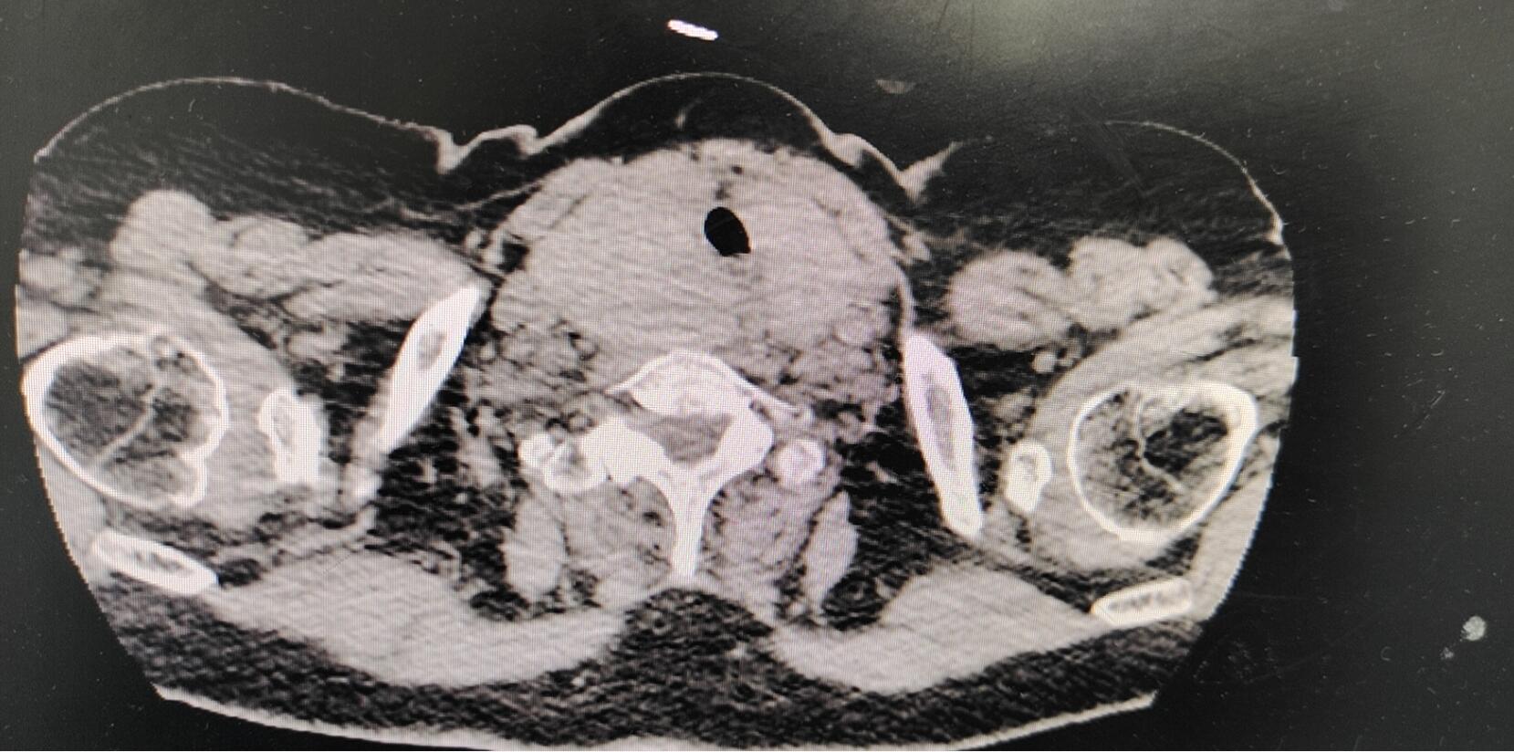
CT影像
80岁高龄的张女士,因“颈部鹅蛋样大小肿物,伴有疼痛及呼吸困难”导致气管受压、变形,夜间入睡憋醒,十分痛苦。一家人心急如焚,曾去往多家上级医院咨询问诊,均因老人年事已高,肿物较大且既往有高血压、糖尿病、心脏病、脑梗塞等多种病史,完整切除肿瘤的可能性极小,而拒绝为其手术。残酷的现实一次次迎面击来,却从未打消这一家人为老人治病的诚心。

辗转求医苦无果,柳暗花明幸有你。终于1月25日,患者一家几经周折,慕名找到了我院普外一科李增德主任及两腺外科学科带头人宋希福主治医师。听了患者一家的讲述,科室人员深受触动,并答应竭尽全力为老人治病。李主任带领两腺外科学组反复研究患者资料,考虑虽然患者肿瘤较大,但仍有手术机会。宋医生仔细为老人查体,经过一系列检查考虑“甲状腺 占位 CA?”,并第一时间向老人家属说明手术的必要性及风险性。经家属商议后,决定同意为老人手术治疗。

↑ 肿物顺利切除
术前准备紧张有序的展开,一方面请内科、麻醉科会诊,将患者血压及身体状况调整到能够接受手术的最佳状态;另一方面制定精准手术方案,并就术中可能发生的的问题制定了详细的补救方案。经过积极准备,2月1日,在麻醉科的配合下手术开始。较大的肿瘤,压迫气管及周围神经血管、食管,导致解剖关系不清,极易引起损伤,术后喉头水肿、声音嘶哑、饮水呛咳等严重并发症。手术台上气氛凝重,手术室外家人焦急等待。手术由宋医生主刀,两腺外科专业组密切合作,术中沉着冷静,仔细分离,历时2个多小时最终将包绕气管生长的肿瘤完整切除,保护了喉返神经及甲状旁腺,且无意外损伤。更值得可喜可贺的是,患者顺利度过了术后喉头水肿、血压不稳等难关。住院期间,普外一科医护人员悉心照料,2月9日,老人顺利出院。

医护人员的专业与用心不仅祛除了老人的病痛,还圆了老人一家安安心心在家过年的心愿。感怀于心,念念不忘,出院之际老人家属特将一面印有“医术精湛 医德高尚”的锦旗送到宋希福主治医师手中,感谢他及全体医护人员的付出。

扫描二维码分享到微信