碘125粒子治疗恶性肿瘤疗效显著
碘125粒子是一种能量放射性核素,是通过完全密封的I放射源发射出能量为27~31KEV的X线和35KEV的γ射线,植入到肿瘤部位及其可能发生转移的组织间,使肿瘤组织接受最大剂量的持续照射,杀死不同增殖阶段的肿瘤细胞,从而达到治疗和预防肿瘤复发的作用。碘125粒子半衰期为59.6天,有效治疗时间长达半年。碘125粒子植入术是不同于外放疗的最佳适形放疗,与外放疗相比,其最大的优点是精确性高、副作用小,其组织穿透能力仅1.7cm,因而对周围组织脏器及正常细胞损伤轻微,并发症发生率明显减少,无总剂量限制、高于外放疗剂量的3-5倍,显著提高靶区的照射量,有效抑制肿瘤细胞的有丝分裂和再增殖。CT引导下125I粒子植入术经临床实践证明是一项有发展前景的先进方法,并已逐渐为临床工作者认识和关注。
CT引导下125I粒子植入术已被广泛应用于肺癌、肺转移癌的治疗,对骨转移瘤、胰腺癌、肝癌、肝转移癌、喉癌、鼻咽癌、盆腔肿瘤、转移淋巴结等病变也显示了其优势。
我院影像科自2014年引入放射性粒子植入治疗计划系统以来,已开展CT引导下125I粒子治疗20余例,均显示出其独特疗效。现将典型病例展示如下:
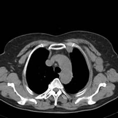
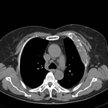
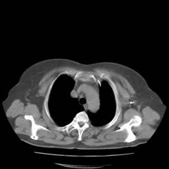
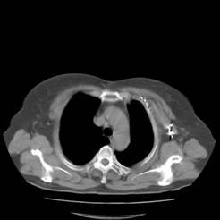
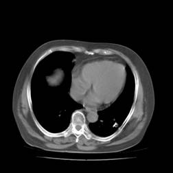
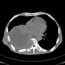
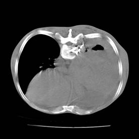
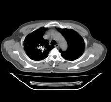
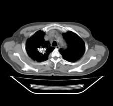
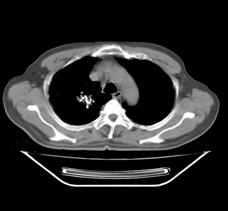
典型病例1:患者鞠xx,女,68岁,住院号:488141,因左胸痛1月余入院。2015年3月31日胸部增强CT示:左肺下叶2.5cmx2.8cm占位,左侧第三前肋骨溶骨性转移、形成厚约3cm肿块,左侧腋窝淋巴结2.1cmx4.1cm及前纵膈淋巴结转移。患者于2015年4月1日经CT引导下穿刺活检、病理证实为左肺下叶腺癌。于2015年4月5日对其采用125I放射性粒子置入治疗。治疗3个月随访,患者胸痛缓解,左肺下叶原发病灶消失,粒子聚集;左侧第三前肋骨基本恢复正常形态;前纵膈淋巴结消失,粒子聚集;左侧腋窝淋巴结缩小2/3。目前患者生活质量良好,可从事一般家务劳动。
术前CT片:






术后三个月CT片:






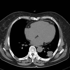
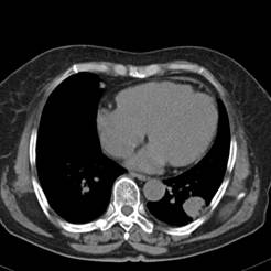
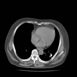
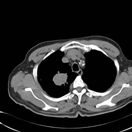
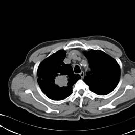
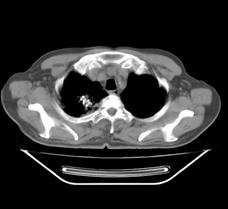
典型病例2:患者张XX,男,65岁,住院号:496686,因发热、胸闷、背痛2月余入院,体温最高达39℃,背部疼痛难忍。2015年6月29日胸部增强CT示:右肺下叶11.6cmx12.5cm巨大肿块,中心大片低密度坏死区,第8胸椎及右侧第8后肋骨转移。于7月2日行CT引导下穿刺活检术,病理证实为右肺鳞癌。给予125I放射性粒子植入治疗,术中首先利用植入针,穿刺肿块中央坏死区,连接引流袋后抽出肿瘤内坏死液体约500ml,抽液后肿瘤缩小约1/3;随后将125I粒子植入到第8胸椎体及第8后肋骨转移区,同时重点放置患侧滋养动脉供血区域。术后第二天,患者体温恢复正常;术后一周随访,患者背痛缓解。该患者出院回家,仍在随访中。
术前CT片




术中抽液




术中粒子植入
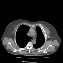
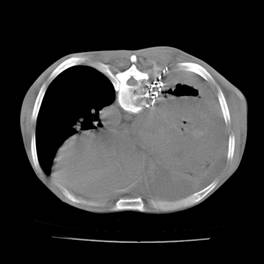
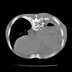
典型病例3:患者赵XX,男,76岁,住院号:493297,因咳嗽、咳痰、右侧胸痛1月余入院。于2015年5月29日胸部增强CT示:右肺上叶4.1cmx3.4cm占位。5月31日行CT引导下右肺穿刺活检术;6月1日活检病理证实:右肺上叶腺癌;6月16日行CT引导下右肺125I粒子植入治疗。7月22日患者复查胸部CT,原发病灶基本消失、粒子聚集。
术前CT片:



:




术后一个月复查
放射性粒子植入在周围型和中央型肺癌以及转移性肺癌的治疗中均可被应用。对于无法手术而病变较局部的患者,可对其进行姑息性治疗,从而改善患者生活质量,提高患者生存时间。放射性粒子置入与其他微创疗法联合应用,将可能在早期肺癌治疗中发挥重要作用,尤其是对于部分不能耐受外科手术治疗的老年性早期肺癌患者。
扫描二维码分享到微信