胆囊超声检查为什么要空腹?能喝水吗?
经常有很多患者询问,做胆囊超声检查一定要空腹吗?吃了早餐可以吗?我吃的不多,应该没事吧?吃了有两个小时了,应该可以做了吧?能不能喝水……等等疑问
今天由超声科医生带大家了解一下
★主要检查什么?
1 胆囊的形态、大小、胆囊壁的厚度及是否光滑
2 胆囊内有无胆泥、结石、隆起性病变或肿瘤
3 疑有胆囊炎或胆囊颈部梗阻者,用脂餐试验观察胆囊收缩功能
4 肝内、外胆管管径;胆管有无扩张,扩张程度、范围、部位
5 胆管有无结石、肿瘤、局部管壁增厚或囊状扩张
★为什么要空腹?
超声作为胆囊检查首选,在进行检查时需使胆囊保持充盈的状态,即胆囊内充满胆汁,胆囊充盈可观到胆囊壁的小息肉、结石、胆囊壁的厚度,以及胆囊的结构等。如做胆囊超声前进食,易刺激胆汁排出,使胆囊的充盈度下降,影响超声的检查结果和临床判断。另外,做超声前饮水虽然对胆囊的刺激较小,但易携带气体进入胃、十二指肠以及小肠中,增加超声过程中的干扰,因此胆囊超声通常需要空腹8小时,并且尽量避免喝水。
此外,除要求检查前当日禁食,前一天晚餐最好清淡饮食,少吃或不吃过于油腻的食物;豆类、糖类等发酵类食物也尽量少吃。如前一天晚上饮食过于油腻,会使胆汁排出过多,无法保证检查当日胆囊充盈。

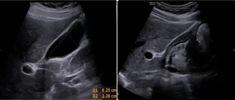
空腹时,超声下显示胆囊壁光滑,胆囊内透声好,未见明显异常(左图)进食后,胆囊收缩,胆囊壁增厚,内部情况显示不清(上图)
★ 平时要注意什么?
日常应注意保持良好的饮食习惯,按时吃饭,如长期不吃早饭,没有食物的刺激,胆汁无法排出,易造成胆汁淤积引起胆囊炎、胆结石,主要表现为右上腹突发性剧烈疼痛或者隐痛不适,如有腹痛、腹部不适建议您及时空腹来医院就诊、检查。
扫描二维码分享到微信