牙痛藏 “心” 险!济阳区人民医院心内三科精准抢赢隐蔽病变

9月2日晚,刘大娘牙痛一天且加重,经初步治疗后症状稍有缓解。谁料次日清晨,牙痛再次剧烈发作 —— 这看似普通的牙痛,竟隐藏着足以致命的健康危机。
复查心电图显示,刘大娘存在缺血型ST-T改变,且较前一日明显加重。心内三科李传荣主治医师紧急会诊,结合患者肌钙蛋白I结果,高度怀疑急性非ST段抬高型心肌梗死!



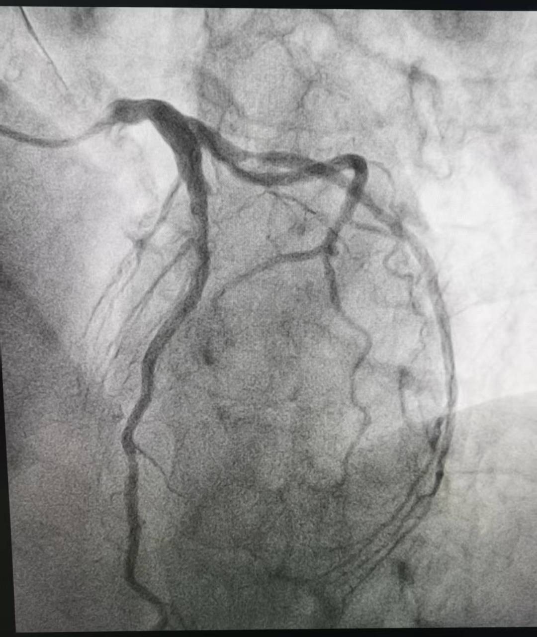
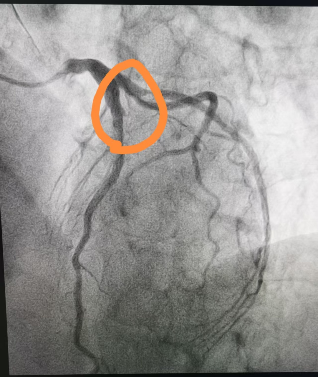
“时间就是心肌,时间就是生命!”心内三科谈金强主任和张用之主治医师立即启动急救绿色通道,为患者急诊行冠状动脉造影(CAG)以明确冠脉病情。造影结果显示:患者对角支自开口处100%闭塞!如此隐蔽的病变,不仅极度考验术者的观察力,更对冠脉解剖结构的熟悉程度提出极致挑战,稍有疏忽便可能漏诊,酿成不可挽回的结果!
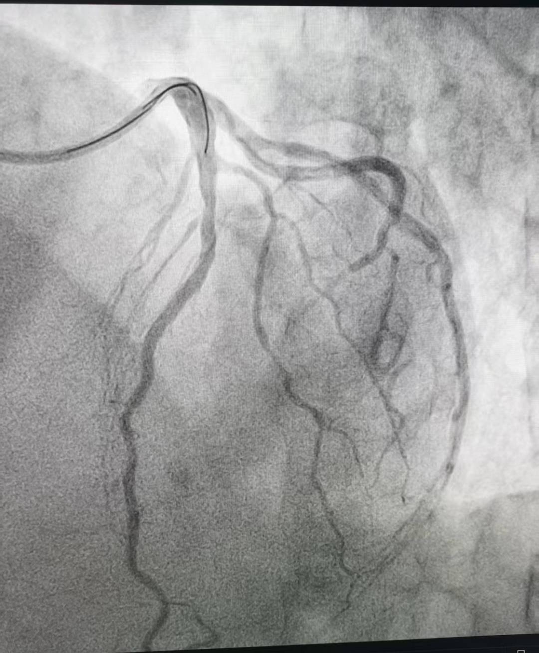
张用之主治医师第一时间与患者家属细致沟通病情,在征得同意后,立即为患者施行经皮冠状动脉药物球囊扩张成形术。手术全程顺利,患者术后未出现任何不适症状。9月4日查房时,刘大娘的牙痛症状已完全消失,身体状态稳步恢复。
在这场隐蔽病变的极致赛跑中,心内三科团队凭借丰富的经验、精湛的技术和高效的协作能力,精准判断病情、快速实施救治,成功抢赢患者生命。未来,我院心内科团队将继续坚守 “患者生命至上” 的原则,以过硬医术守护百姓健康,为心血管疾病患者筑牢坚实的生命防线!
健康提示
临床上,牙痛、咽喉痛、上肢痛等都可能是心梗的不典型表现,特别是伴有出汗、胸闷、乏力等症状时,一定要及时就医,排除心脏问题。对于有高血压、糖尿病、高血脂等基础疾病的人群,尤其应当提高警惕!
扫描二维码分享到微信