神经外科团队开启导航下微创治疗新征程
近日,神经外科团队在手术室、麻醉科、影像科、设备科的默契配合下,经过周密的术前计划,顺利完成了全区首例神经导航下脑内血肿微创穿刺引流术。

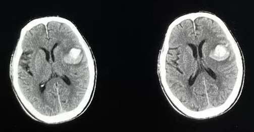
▲术前CT
患者为75岁男性,因突发左侧肢体活动不灵伴失语急诊入院,术前颅脑CT检查提示左侧大脑额颞叶出血,量约20ml,随后收入到神经外科病房。值班医师紧急给予止血 、降血压等一般治疗,并完善各项化验及辅助检查。复查CT显示脑内出血相对稳定,术前检查显示各项指标基本正常,经过团队集体讨论,决定为患者实施微创治疗。

▲手术方案

▲导航引导下穿刺
神经外科高磊主任亲自进行手术风险评估及手术方案设计,于3月31日下午2点,在全身麻醉下为患者实施了导航下微创穿刺引流术,术后患者即刻清醒,可遵嘱配合简单指令动作。

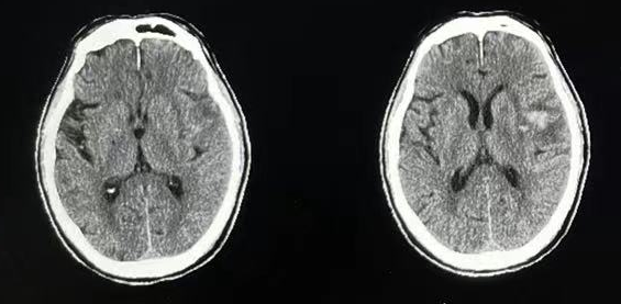
▲术后CT
随后给予脱水降颅压、预防感染、营养神经、补液等对症治疗,2天后拔除血肿腔引流管。复查CT显示脑内血肿清除满意。
经过积极治疗及精心护理,患者言语及肢体活动情况逐渐好转,目前患者已平稳渡过急性期,正在接受后续康复治疗。
脑出血是神经外科的常见病,多发病。
对于出血量较多,占位效应明显的脑内血肿,需要尽快处理清除血肿,减轻血肿对周围脑组织的压迫。导航引导下脑内血肿穿刺引流术是一种微创治疗脑出血的手术方式,术中导航可以精确定位血肿位置,引导穿刺,使引流管可以准确的放置到引流脑内血肿的最佳位置;同时可以避免手术对正常脑组织的损伤,极大的缩短手术时间,加快患者术后康复,缩短患者住院时间。
进入显微神经外科时代以来,神经导航技术已在国内外广泛应用于脑出血、脑肿瘤、颅神经疾病的治疗,济南市济阳区人民医院引进先进设备,培养专业人才,紧跟国际微侵袭神经外科的发展方向。神经外科全体医护人员将砥砺前行,逐步扩大手术范围,有信心更有实力为全区人民神经系统健康保驾护航!
扫描二维码分享到微信