介入微创序贯式治疗新征程——我院完成首例双原发肺癌术后肺内磨玻璃结节经皮微波消融术

时间:2022-03-30    科室:影像科     作者:马训新     点击: 4855 次

介入微创


      3月24日,我院影像科与介入微创科联合成功完成首例双原发肺癌术后肺内磨玻璃结节经皮微波消融术,标志着我院肺癌治疗技术再次迈上新台阶、新高度。


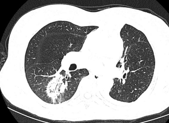
术前

      患者张某,65岁,老年女性,于2022年2月份查体发现双肺占位,左肺上叶软组织密度灶(直径约4cm)、右肺磨玻璃结节灶(GGO,直径约3cm),针对左肺占位行CT引导下穿刺活检,病理提示肺腺癌,经我院MDT多学科专家会诊讨论,为该患者制定了序贯式治疗方案:1、左肺肿瘤实行外科手术切除;2、右肺病变实行经皮穿刺微波消融术。患者于2022年2月份在胸外科全麻下行胸腔镜下左肺上叶切除+纵隔淋巴结清扫术,术后恢复顺利,回家休养。

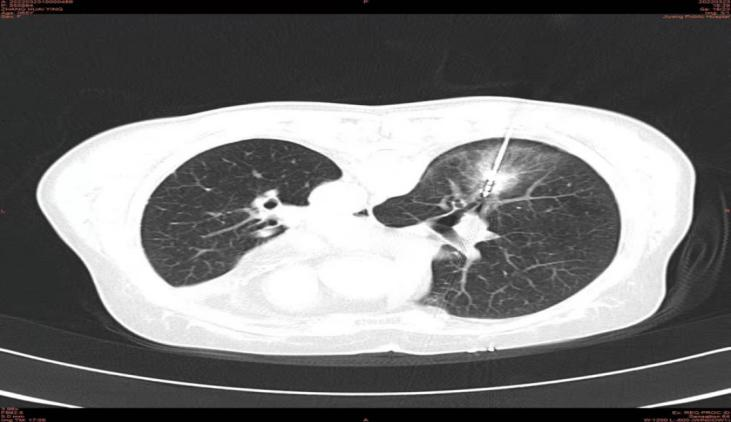
术中

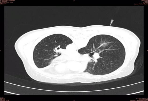
       经过一段时间的恢复,3月22日,患者在家属的陪伴下来到我院介入微创科行右肺下叶病变的治疗;3月24日,在影像科及介入微创科团队协同操作下为患者实施了CT引导下经皮微波消融术,整个介入手术操作过程顺利,患者生命体征平稳,无明显不适及并发症发生,术后二十四小时复查胸部CT示微波消融范围理想,病灶位于消融靶心。

术后

       3月26日,患者恢复自理能力出院。序贯式治疗方案的实施标志着我院癌症中心MDT治疗模式越发成熟,最终实现患者利益最大化。

无疤痕、超微创、介入微创新疗法

----微波消融术


       一直以来手术、放疗、化疗在肿瘤的治疗中起着重要的作用,成为肿瘤治疗的三大支柱。近几年,随着介入影像学的发展,介入微创治疗手段逐渐发展起来,并迅速在临床上得到应用和推广。微波消融技术以其创伤小、出血少、时间短、疗效好、恢复快、 副作用小、并发症少等特点,得到了越来越多的临床医生和患者的认可。
      微波消融技术,是在影像引导,将针型微波辐射器经皮穿刺植入至病灶内,应用微波加热技术直接作用于肿瘤病灶,使肿瘤组织因高热而瞬间热凝固坏死,从而达到根除或毁坏肿瘤组织的目地。
      微波消融治疗为临床肿瘤治疗提供了一条新的途径,对于手术不能切除,或不能完全切除,或切除风险较大的原发性病灶;心、肺、肝功能不全、体质过弱不宜手术的患者;术后复发的患者;转移性癌灶的患者均有较好的治疗效果。


肺癌微创介入治疗----微波消融治疗


      肺癌是发病率和死亡率增长最快,对人群健康和生命威胁最大的恶性肿瘤之一。男性肺癌发病率 和死亡率均占所有恶性肿瘤的第一位,女性发病率和死亡率占第二位。同时,肺是仅次于肝脏的常见转移部位,可以通过血行转移、淋巴道转移、直接浸润或蔓延、气道种植等多种途径发生,几乎1/3的癌症的患者都存在肺转移。

      传统的治疗方法是外科手术治疗,而且常常需在术前或术后作辅助化疗、放疗治疗,以提高外科手术的治愈率和患者的生存率。但是,外科切除手术创伤大、对患者的肺功能及身体其他状况要求高, 而且患者肺转移往往多发,致使很多患者失去了外科手术的机会。而微波消融介入治疗有以下几点优势:

一、微创、微痛;消融电极针纤细(一般直径1-2mm),创口仅为一个小针眼,大部分病人只要局部麻醉而非全身麻醉,因此这种手术最大的优势是创伤小、痛苦少、恢复快。
二、适应症广;这种治疗办法可广泛应用于各种实体肿瘤,比如肺癌、肝癌、肾癌、甲状腺癌等。

三、疗效好;对于早期的肿瘤,消融治疗可以取得和手术切除相媲美的根治性的效果,对于晚期肿瘤可以起到减瘤、减症、止痛等目的,和其他的放疗、化疗治疗手段相配合,能够大大提高治疗效果。
四、疗程短、恢复快;一般术后第二天即可下床活动,3-5天就可以出院。
五、能够激发机体的免疫功能;热消融固化后的肿瘤可刺激宿主产生抗肿瘤免疫力,使宿主抗击肿瘤细胞的攻击能力明显增强。
      随着技术的进步,癌症治疗的方法也不再单一。目前,消融治疗高危肺结节已经纳入中国肺结节治疗专家共识,早期肺癌,特别是GGO(磨玻璃结节),消融可以达到治愈肿瘤又保护肺功能的目的。微波消融治疗是肺结节治疗的一种疗效好,创伤及副作用小的新选择。微波消融治疗的出现,为肺癌患者带来了新的希望。



扫描二维码分享到微信