且行且珍“膝”,我院膝关节骨性关节炎阶梯化治疗成效显著
近期,我院关节外科采用个体化阶梯式疗法,先后成功完成胫骨高位截骨与全膝关节置换术,患者恢复良好,现已顺利出院。膝关节骨性关节炎阶梯治疗,让患者更加受益。

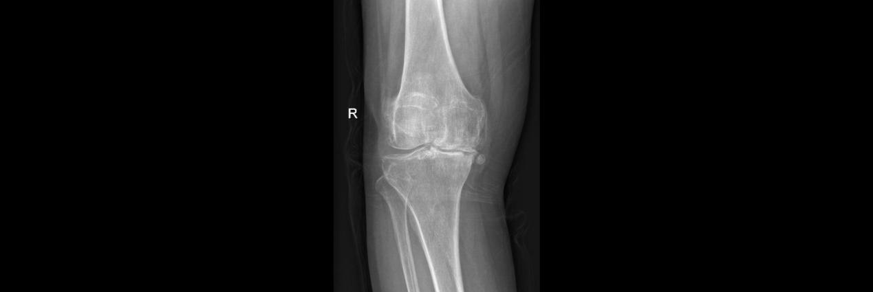
术前
54岁的赵女士,因右膝部疼痛1年余,加重2个月于2月19日住入我院骨一科。入院后,完善相关辅助检查,诊断为单侧膝关节骨性关节病、半月板撕裂,患者膝关节退行性变较轻,内侧间室疼痛明显,董孟政主任医师及张琦医师经过细致查体、阅片后决定保膝治疗,行膝关节半月板成形、胫骨高位截骨。

术后
2月20日,手术顺利进行,术中关节镜入路见内侧间隙变窄,半月板撕裂,行半月板成形术。再行胫骨高位截骨,术中模拟外翻负重位状态,透视见下肢力线恢复至正常力线,予以钢板固定植骨术。术后,患者恢复良好,内侧间室疼痛明显减轻,顺利出院。


术前
66岁的孙女士,因右膝疼痛3年,加重2年于2月17日入院,患者曾接受关节腔玻璃酸钠等保守治疗,短期效果可,近期效果不明显,膝关节疼痛严重,每走一步都扎心的疼。入院后,董孟政副主任、黄贵云副主任一齐查看患者情况,经拍片检查诊断为膝关节骨性关节炎严重,定于2月19日为患者行关节置换术。


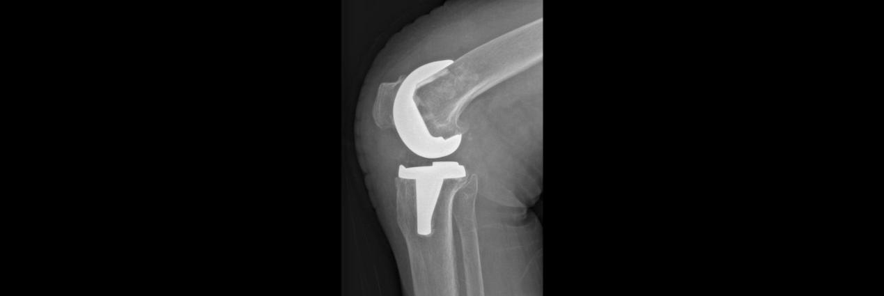
术后
术中,见患者膝关节软骨磨损严重,更换全膝关节假体。术后指导功能锻炼,术后第1天患者便可下地活动,术后3天已无需助行器自行活动,膝关节疼痛明显减轻,患者对手术效果非常满意,现已顺利出院。
膝关节疼痛作为困扰许多中老年人的常见疾病,因其病因多样、复杂性及患者不重视等因素,很多患者来院就诊时已有比较严重的骨关节炎,失去保膝的最佳时期,而患者年龄偏大,又惧怕手术治疗,因此,积极正规治疗膝关节疼痛不仅可以缓解疼痛改善生活质量,更可防止骨关节炎加重而失去最佳手术时机。
扫描二维码分享到微信