双管齐下!心内科成功救治两名心脏病患者

心内一科副主任李雷为患者行心脏射频消融术
12月20日夜间,我院心内一科与CCU同台合作,通过实施经导管心脏射频消融术和急诊冠脉支架植入术,先后成功挽救两名急性心脏病患者的生命。这是心内一科建科后首次多科协作运用多种急诊介入技术为患者解除病痛,具有良好的经验借鉴意义。

射频消融
今年87岁的高女士,因突发心悸4小时并一过性晕厥急来我院就诊,诊断为阵发性室上性心动过速并心源性脑缺血综合征,针对该病目前唯一可以根治办法就是实施射频消融术。心脏射频消融术是多种心律失常最有效的根治方法,相对传统的药物治疗,该手术的治愈率高达95%,因而具有明显优势。该患者入院后,副主任李雷详细了解患者病情,并及时与CCU王吉军副主任进行病例讨论,在充分考虑患者高龄体质的基础上制定出了一套个体化治疗方案并迅速与CCU同台协作,成功为患者实施心脏射频消融手术。术后患者症状明显缓解,家属不胜感激。

1
术前

2
术后
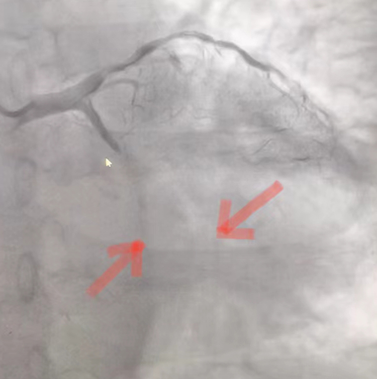
无独有偶,术后短暂休息时刻,又一位64岁突发急性心梗并心衰患者转入CCU,考虑到患者病情较重,副主任李雷再次投入战斗。在第一时间给予抗血小板、抗凝治疗的同时和家属沟通病情,联系导管室及我院介入团队邢建龙医生急行冠脉造影,显示患者冠脉三支重度病变,左冠弥漫性钙化,回旋支自近段100%急性闭塞,前降支近段80-90%狭窄,自中段100%慢性闭塞。病情危重,情况紧急!患者回旋支及前降支有急诊PCI指征,但术中可能出现恶性心律失常、低血压休克,甚至猝死可能,李主任再次和家属沟通病情,征得家属同意后签署相关知情同意书。事不宜迟!抢救仪器及药品就绪,立即追加肝素,沿桡动脉鞘管送EBU3.5指引导管至左冠开口,手术开始。9分钟后,导丝顺利通过旋支狭窄部位并应用硬球囊预扩完成,造影提示病变血管再灌注,借助支架精准定位技术,成功将一枚2.75×16mm支架植入旋支近段。球囊后扩后复查造影示支架展开良好。然而手术医生不敢有丝毫懈怠,继续乘胜追击,终将导丝通过前降支慢性病变并对其成功实施冠脉成形术,再次造影示冠脉无夹层、撕裂,前向血流通畅。29分钟后患者安返病房,后胸痛及憋喘症状逐渐缓解,心电图示心肌缺血明显改善。目前病人恢复良好,预计不久即可出院。
此次夜间两台急性重症心脏病患者的成功救治标志着我院心脏介入团队在急诊病人救治及科室合作水平上再上新台阶。团队将进一步总结经验,砥砺前行,继续造福济阳百姓。
扫描二维码分享到微信