清晰影像助力产科成功救治一例凶险性前置胎盘并胎盘植入产妇

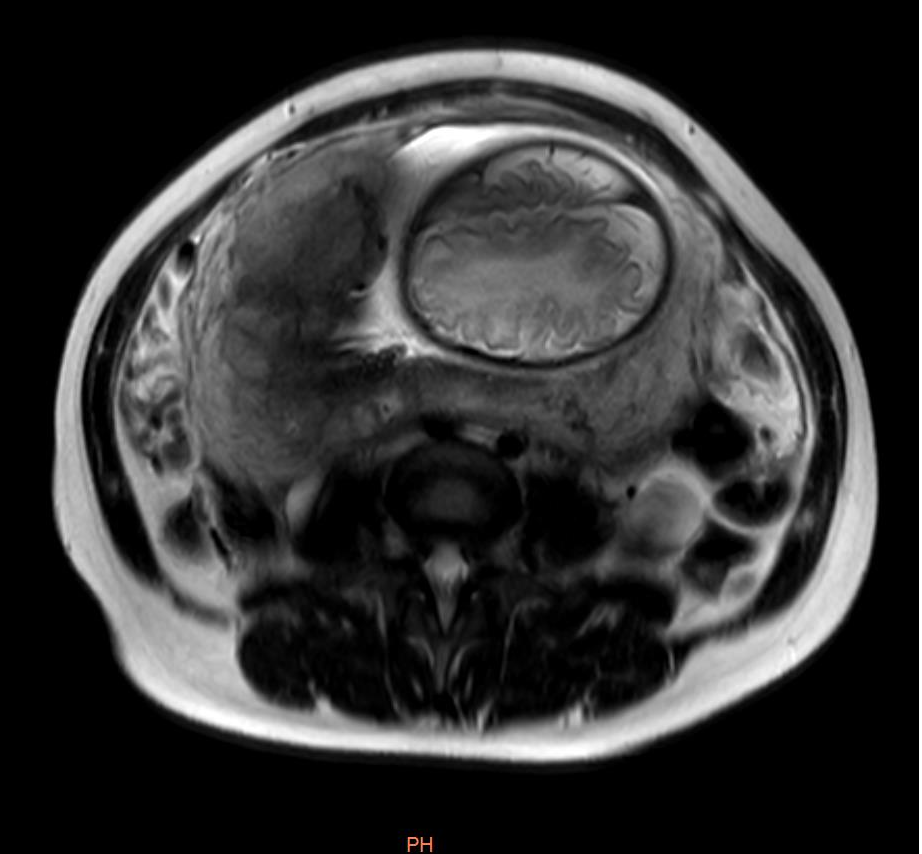
影像显示:前置胎盘并胎盘植入
11月17日上午,孕妇郭女士因胎膜早破、阴道出血,在我院产科大夫陪同下来影像科检查。经了解,郭女士此次怀孕系第三胎,仅35+2周,两次剖宫产史。临床超声检查后发现前置胎盘,怀疑存在胎盘植入,情况十分凶险。

飞利浦3.0T超导磁共振(网图)
了解情况后,影像科应用飞利浦3.0T超导磁共振迅速为患者进行了检查,影像科技术人员操作熟练、检查细致规范,图像多方位采集,清晰显示患者病情,影像科医师阅片与检查同步进行,认真及时分析图像,发现郭女士为胎盘前置,完全覆盖宫颈管内口,胎盘与子宫剖宫产术后瘢痕分解不清,胎盘下见粗大血管影及少量出血信号,存在胎盘植入。

产一科医师为患者实施手术
影像科医师将患者病情即刻与产科大夫说明,产科以最快速度为患者安排了手术,及时为患者解除了疾病、保全了患者子宫,母子均安。


前置胎盘并胎盘植入影像
前置胎盘并发胎盘植入是产科严重的并发症,常引起大出血,甚至休克,增加子宫切除率,严重危及产妇及胎儿安全。据悉,前置胎盘患者并发胎盘植入的发生率高达50%。术前准确诊断可指导手术方案的制定,因此,及时准确的诊断对孕产妇至关重要。目前,前置胎盘并胎盘植入的影像诊断主要依据经腹超声探查,但该方法易受孕妇及胎盘位置的影响,诊断准确率较不固定。MRI快速扫描技术发展迅速,已逐步应用于胎盘疾病的诊断。
前置胎盘并发胎盘植入的发生机制尚不完全明确。目前认为,正常情况下,胎盘绒毛的侵蚀力与蜕膜组织反应是平衡的,但当蜕膜本身缺陷或蜕膜层发育不良时,胎盘绒毛组织将穿透底蜕膜侵入子宫肌层,造成产前或产后大出血、子宫穿孔、继发感染等。
中华医学会、FIGO、RCOG及ACOG对于核磁共振成像(magnetic resonance imaging,MRI)在胎盘植入诊断价值的认识较一致。RCOG指南(2018)专家共识认为,MRI在诊断价值上不优于超声检查,但对于超声检查难以确定、需评估穿透性胎盘植入宫旁组织受累情况或子宫后壁胎盘植入的病例,MRI检查有其独特优势。
扫描二维码分享到微信