我院综合外科成功完成我县首例腹腔镜下左侧多囊肾去顶减压+肾脏被膜剥脱术

近日,我院综合外科成功完成我县首例腹腔镜下左侧多囊肾去顶减压+肾脏被膜剥脱术,患者术后恢复良好,现处于修复期,等待数月后行右侧肾脏手术。

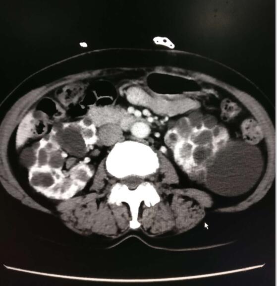
图一:术前CT:双肾多发囊肿
8月1日,55岁的患者刘女士因查体发现双侧肾脏多发囊肿,住入我院综合外科。入院后,接诊医师迅速为其完善相关辅助检查,行强化CT检查示:双肾体积增大,接近1000ml,肝脏及双肾布满大小不等的囊肿,最大的位于左肾,直径约7cm(见图一)。患者病情十分凶险,需尽快手术。张元宝主任立即组织潘美州副主任、尹涛、张文建主管医师(泌尿外科医师团队成员)组成病例讨论小组,仔细分析病情,明确患者诊断为:成人型常染色体显性遗传多囊肾(ADPKD),并结合患者实际情况,为其制订了详细的治疗方案,充分准备后定于8月7日在全麻下先行腹腔镜下左侧多囊肾去顶减压术及开创性的左肾被膜剥脱术。
ADPKD肾脏多发囊肿,会不断进展及新发,压迫肾实质,使肾单位减少,最终将造成肾功能损害。晚期尿毒症是该种病人的最终归宿,需长期透析或行肾脏移植手术。可怕程度,可想而知。对该病中期病人采用囊肿去顶减压术,有助于改善肾脏功能,一侧手术可至少延长肾脏功能3-5年,改善患者生存质量。

图二:术中多囊肾表现
手术采用经腹腔途径气管插管,患者于全身麻醉下右侧卧位。手术医师在患者左肋缘下与胸骨旁线交叉处下方二横指(A点)建立气腹后,于平脐左锁骨中线(B点)采用10 mm Trocar穿刺成功,直视下在A点、肋缘下腋前线处(C点)采用5mmTrocar穿刺后,沿左侧结肠旁沟纵行切开后腹膜,上至膈肌,下至肾脏下缘,再将肾周筋膜完全打开,保护好肾门血管、淋巴管及输尿管,彻底游离左侧肾脏,显露肾脏囊肿(见图二)。

图三:减压后左肾体积缩小,张力降低,血运改善。
术中,采取由下向上、由外向内的顺序,先处理左肾直径>4m以上的囊肿,打开囊肿,吸净囊液,再将囊肿突出于肾脏表面的囊壁切除,依次处理到左肾体积明显缩小,张力减轻,质地变软,颜色恢复红润(见图三)。最后,将残存的肾脏被膜与肾实质逐一剥离切除。于肾脏腹侧及背侧各放置一引流管,引出体外固定,退出腹腔镜及操作件,常规缝合穿刺点,患者安返病房。术后,患者恢复顺利,拟3-6个月后行右侧肾脏手术。
腹腔镜多囊肾去顶减压术,是近年来随着微创技术普及而发展起来的一种微创术式,不需切断腰部肌肉,仅在腹部有3-4个5-10mm的创口,创伤小、痛苦轻、术后恢复快,可行双侧手术甚至反复多次手术,并可达到与开放手术相同的效果。目前,腹腔镜微创手术已成为肾囊性病变治疗的金标准,肾脏被膜剥脱可以巩固手术治疗效果,但术中极易出现出血量明显增加的风险。此例手术的成功完成,标志着我院泌尿外科微创治疗再上新的台阶。
综合外科温馨提示:多囊肾患者一定要定期复查CT,不要错过手术治疗的最佳时机。
扫描二维码分享到微信