我院B超室超声诊断一例胎儿脑膜脑膨出
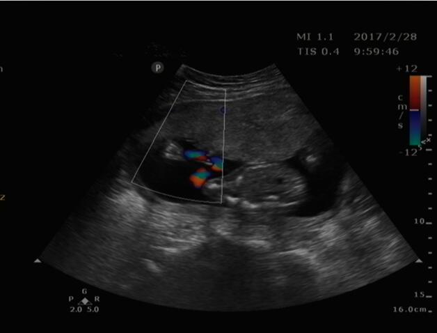
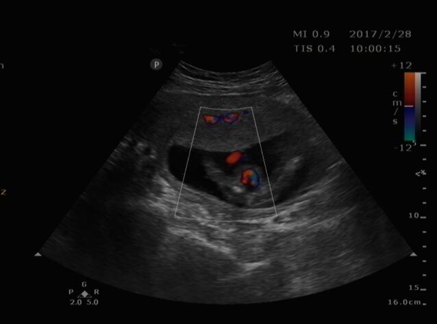
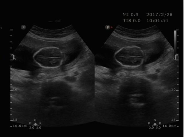
近日,家住商河怀孕4个月的某女士,来我院超声科就诊。接诊大夫为其认真仔细检查,发现该患儿双顶径小于孕周,形态不规则,呈“柠檬头征”,后发现顶枕部一囊性包块,其内含部分脑组织结构,膨出于颅骨外,胎儿其它肢体结构未发现异常。经沟通,此前该女士未做过其它任何检查。随后,该女士在我院办理住院,引产后已证实超声诊断。再进一步了解中得知已孕育两个孩子,其一患有脑积水。
什么是脑膜及脑膜脑膨出?
脑膜及脑膜脑膨出是由于颅骨缺损,脑脊膜腔内压力升高,颅内结构通过缺损处疝出颅外。中线部位均可发生颅骨缺损,以枕骨多见。
声像图特征:
1、头颅中线位置颅骨壁缺损。
2、缺损处突出一包块,脑膜膨出突出内容物为脑膜,膨出物为囊性肿物,脑膜脑膨出突出内容物为脑膜几脑组织,膨出物为实性回声。
3、大量脑组织膨出时颅骨光环缩小或不规则,双顶径可能偏小。
诊断时难点:缺损较小时缺损及包块不易显示,易漏诊。膨出在一段时间内可能消失,过一段时间又出现。膨出较小时很难区分脑膜膨出及脑膜脑膨出。胎儿的耳朵的超声表现容易和脑膨出混淆。
发病原因:
1.遗传因素:无脑儿、脊柱裂为多基因遗传,有本病分娩史者,下一胎再发风险率增高。许多种类基因的表达或突变与神经系统发育、神经管畸形有关。
2.妊娠早期绒毛膜促性腺激素产生减少或胚胎受体细胞对该激素不敏感可造成神经管畸形。女性胚胎对该激素要求比男性高,故女性无脑儿约占总无脑儿的70%左右,脊柱裂女性占55%~60%。
3.维生素B12和叶酸缺乏可以影响神经管闭合。
4.妊娠早期剧烈呕吐或妊娠合并糖尿病酮症酸中毒等内环境异常时,可以影响神经管闭合。5.其他:妊娠早期高热38.5℃以上并持续一周以上者,长期在高温环境中工作的孕妇胎儿神经管畸形的发生率增高;妊娠早期用药不当也可以造成神经管闭合不全。



扫描二维码分享到微信