我院成功完成首例胼缘动脉动脉瘤微弹簧圈栓塞术
近日,我院神经内二科成功完成了首例胼缘动脉动脉瘤微弹簧圈栓塞术,也是我县首例三级血管动脉瘤栓塞术。目前,患者正在进一步康复中。
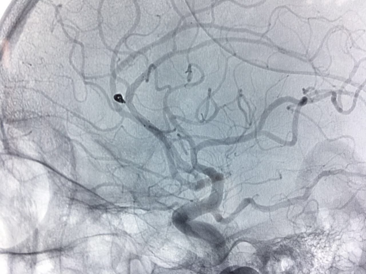
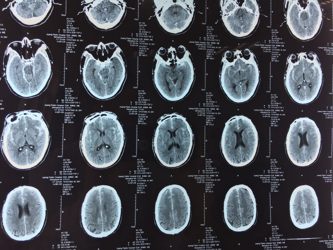
患者王某某,因“突发头痛2小时”来我院就诊,入院后急查颅脑CT示蛛网膜下腔出血。高磊主任急查房并阅片,考虑病人出血部位以双侧外侧裂、皮层下沟池为主,左侧为主,病人四叠体池、桥池、环池周围血量很少,为次级血管动脉瘤可能性较大。遂行颅脑MRA检查初步筛查,未见动脉瘤。考虑病人急性期血管痉挛,仍应继续排查动脉瘤,2天后为其行全脑血管造影术,造影示:胼缘动脉与大脑前动脉交界处动脉瘤。胼缘动脉与大脑前动脉交界处动脉瘤在临床上极其少见,手术风险极大,此前此类病人只能开颅动脉瘤手术夹闭,创伤大、预后差、并发症多。高主任组织科室技术骨干积极进行术前讨论,最终决定为患者实施全身麻醉+支架辅助下动脉瘤微弹簧圈栓塞术。手术顺利完成,术后患者恢复良好。
蛛网膜下腔出血是神经内科常见危重疾病之一,大部分是动脉瘤破裂所致。动脉瘤微弹簧圈栓塞术是治疗蛛网膜下腔出血的最有效方法之一,它具有创伤小、风险小、预后好、并发症少等特点。神经内二科自2013年即开展了此类手术,现已成功完成50余例,无一例并发症。


扫描二维码分享到微信