区人民医院完成我区首例大脑中动脉M2段取栓

近日,来自我区的患者王先生手捧一面“医术精湛 妙手回春”字样的锦旗送到了神经内一科医生办公室,以表达对神经内一科魏华明主治医师及全体医护人员的感谢。
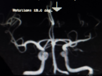
2021年03月01日患者王先生因突发“右侧肢体瘫痪”急诊入院,病情危重,急诊科立即启动脑卒中中心绿色通道,紧急请脑卒中秘书魏华明主治医师会诊,查体结果示:患者处于昏迷状态,完全失语,右侧肢体完全瘫痪,NIHSS评分15分,有急诊取栓的指征,魏大夫立即联系磁共振室完善颅脑血管初步检查,证实了患者为左侧大脑中动脉M2段闭塞所致脑梗死(图一)。家属非常着急,犹豫不定,魏大夫反复向患者家属交代病情,机械取栓越早越好,患者家属最终决心做急诊机械取栓治疗。

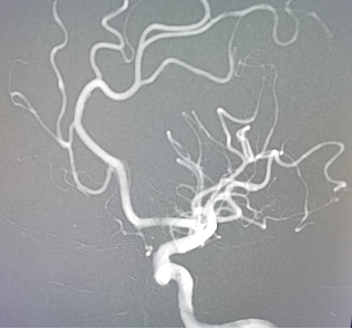
手术由魏华明主治医师操作,10分钟完善术前准备,导管室护士和麻醉师迅速到位,30分钟置鞘成功,40分钟完成脑血管评估,2小时内完成大脑中动脉再通(图二)。术后患者右侧肢体即刻能活动(图三)。术后,神经内一科护理团队密切监护,患者平稳度过7天脑水肿期,现病人言语清楚,右下肢肌力能达到5-级,于3月12日康复出院(图四)。



急性期脑梗死治疗包括静脉溶栓治疗和机械取栓治疗,静脉溶栓对于小血管闭塞效果较好,但是对于大血管闭塞患者再通率很低,对于心源性栓塞几乎无效,机械取栓治疗是大血管病变的绝对适应症,两种治疗方案都有严格的时间依赖性,发病时间越早到达医院,越早实行机械取栓治疗,再通效果越好,病人预后越好。

济南市卒中急救地图现已颁布,济阳区人民医院是我区唯一一家有资格、有能力、有技术、有水平静脉溶栓和机械取栓的卒中病人急救中心。脑卒中秘书魏华明主治医师曾于2020年在北京天坛医院神经介入中心进修学习,得到了全国脑卒中学会神经介入分会主任委员缪忠荣教授和副主任委员马宁教授的亲自指导,掌握了急诊取栓的治疗技术,促进了区人民医院脑卒中救治技术水平的提高。在此提醒广大脑卒中患者发病后就近尽快选择有实力的医院就诊,避免错过最佳治疗时机。
扫描二维码分享到微信