 
    
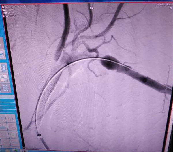
  我院完成首例锁骨下动脉球囊扩张+支架植入术

手术过程非常复杂,手术医师首先尝试经股动脉途径,使用各种导丝均未能通过闭塞病变;后改左桡动脉途径,反复尝试后导丝最终通过闭塞病变,并证实在血管真腔,然后选用不同大小的球囊扩张闭塞段血管,再从股动脉途径导入加硬导丝及输送鞘,最终成功置入支架,患者闭塞的左锁骨下动脉被重新开通。术后患者左上肢血运明显改善,酸胀感消失,患者及家属对手术效果很是满意。

此种疾病以往只能采取保守治疗,治疗效果差,不能解除患者痛苦。锁骨下动脉球囊扩张+支架植入术在我院尚属首次开展,具有创伤小、恢复快、效果显著等优点,因此在锁骨下动脉闭塞疾病的治疗中被临床广泛应用。此例手术的成功开展标志着医院治疗复杂血管病变的技术水平再次迈向新台阶。
扫描二维码分享到微信